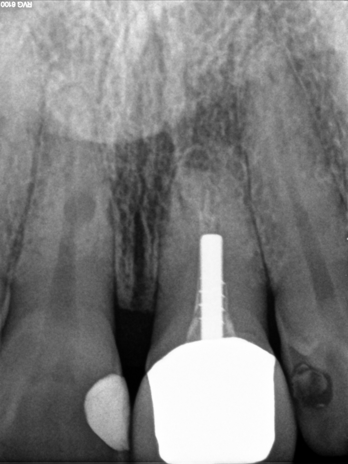
11 Verdacht auf iatrogene Beschädigung der Zahnwurzel, kreisrunde, scharf abgegrenzte, weichteildichte Aufhellung im mittleren Wurzeldrittel, Pulpahohlraumbegrenzung nach mesial ist erhalten, daher kein Verdacht auf interne Resorption.
Jörg, da bist Du schon ganz dicht dran. Es geht um den Befund am Zahn 11 nicht im Zahn 11. Bei genauer Betrachtung sieht man die Kontur des Wurzelkanals.
Herzliche Grüße
Ostidald
Im Gegensatz zum aktuellen Beitrag konnte ich die Kommentarfunktion nur auf das Bild aktivieren. Der Kommentar von Jörg ist in der Übersicht nicht sichtbar.
11: Kreisrunde Transluzens im mittleren Wurzeldrittel. Die Verdachstdiagnose von Jörg ist sehr interessant. Hätte ich nicht vermutet, ist aber durchaus möglich zumal auch von mesial ein kleiner Defekt mit minderer Dichte zu erkennen ist. Ist mir aber für iatrogen etwas zu weit krestal gelegen.
Ein Bild in zweiter Ebene wäre sehr hilfreich.
21: Zustand nach WSR ist offensichtlich, der unvollständige, inhomogene WF stimme ich vollumfänglich zu, die periapikale Situation zeigt wolkige Strukturen minderer Dichte, IMO eine akute Reinfektion mit resorptiven Prozessen.
22: Sehr hohe Transluzens im Bereich der mesialen Füllung. Klinische Abklärung erscheint mir erforderlich, ob es sich um ein ältere Füllung mit sehr geringer Opazität oder Sekundärkaries handelt.
21 Zustand nach WSR, unvollständige, inhomogene WF, fehlender retrograder Verschluss, unklare periapikale Situation
11 Verdacht auf iatrogene Beschädigung der Zahnwurzel, kreisrunde, scharf abgegrenzte, weichteildichte Aufhellung im mittleren Wurzeldrittel, Pulpahohlraumbegrenzung nach mesial ist erhalten, daher kein Verdacht auf interne Resorption.
LGJ
Jörg, da bist Du schon ganz dicht dran. Es geht um den Befund am Zahn 11 nicht im Zahn 11. Bei genauer Betrachtung sieht man die Kontur des Wurzelkanals.
Herzliche Grüße
Ostidald
Im Gegensatz zum aktuellen Beitrag konnte ich die Kommentarfunktion nur auf das Bild aktivieren. Der Kommentar von Jörg ist in der Übersicht nicht sichtbar.
11: Kreisrunde Transluzens im mittleren Wurzeldrittel. Die Verdachstdiagnose von Jörg ist sehr interessant. Hätte ich nicht vermutet, ist aber durchaus möglich zumal auch von mesial ein kleiner Defekt mit minderer Dichte zu erkennen ist. Ist mir aber für iatrogen etwas zu weit krestal gelegen.
Ein Bild in zweiter Ebene wäre sehr hilfreich.
21: Zustand nach WSR ist offensichtlich, der unvollständige, inhomogene WF stimme ich vollumfänglich zu, die periapikale Situation zeigt wolkige Strukturen minderer Dichte, IMO eine akute Reinfektion mit resorptiven Prozessen.
22: Sehr hohe Transluzens im Bereich der mesialen Füllung. Klinische Abklärung erscheint mir erforderlich, ob es sich um ein ältere Füllung mit sehr geringer Opazität oder Sekundärkaries handelt.
Hallo Titus, stimmt, der röntgenologische Befund ist ohne 3D nur wage interpretierbar.
Herzliche Grüße
Ostidald