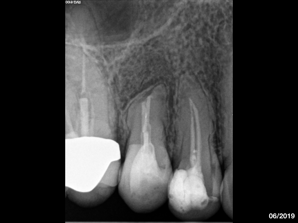
WS8593.007 Veröffentlicht 18. Juli 2019 am 1024 × 768 in Recall und Verlauf eines endodontischen Falles (2)