Zum Inhalt wechseln
WURZELSPITZE
Moderne Endodontie, moderne Zahnmedizin
Suchen
Hauptmenü
Home
Über…
Über Wurzelspitze
WURZELSPITZE-Leser unterstützen WURZELSPITZE !
Vitae
Autoren
Dr. Christian Danzl
Dr. Hans – Willi Herrmann
Dr. Christoph Kaaden
Dr. Olaf Löffler
Dr. Jörg Schröder
Fortbildungen
DIE3 HERRMANN KAADEN SCHRÖDER reden über… EndoErgonomie
DIE3 HERRMANN KAADEN SCHRÖDER reden über…EndoOrganisation
DIE 3 HERRMANN KAADEN SCHRÖDER reden über …Wurzelkanalaufbereitung
Hospitationen
Praxis Dr. Christoph Kaaden
Praxis Dr. Jörg Schröder
Gästebuch
Impressum
Bilder-Navigation
← Zurück
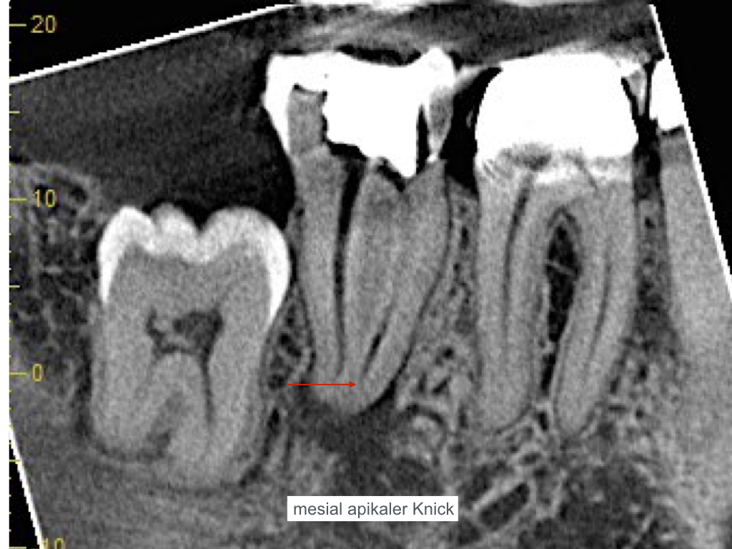
ws-15092016-004
Veröffentlicht
10. Oktober 2016
am
1024 × 768
in
Handinstrumentierung
Kommentar verfassen
Antwort abbrechen