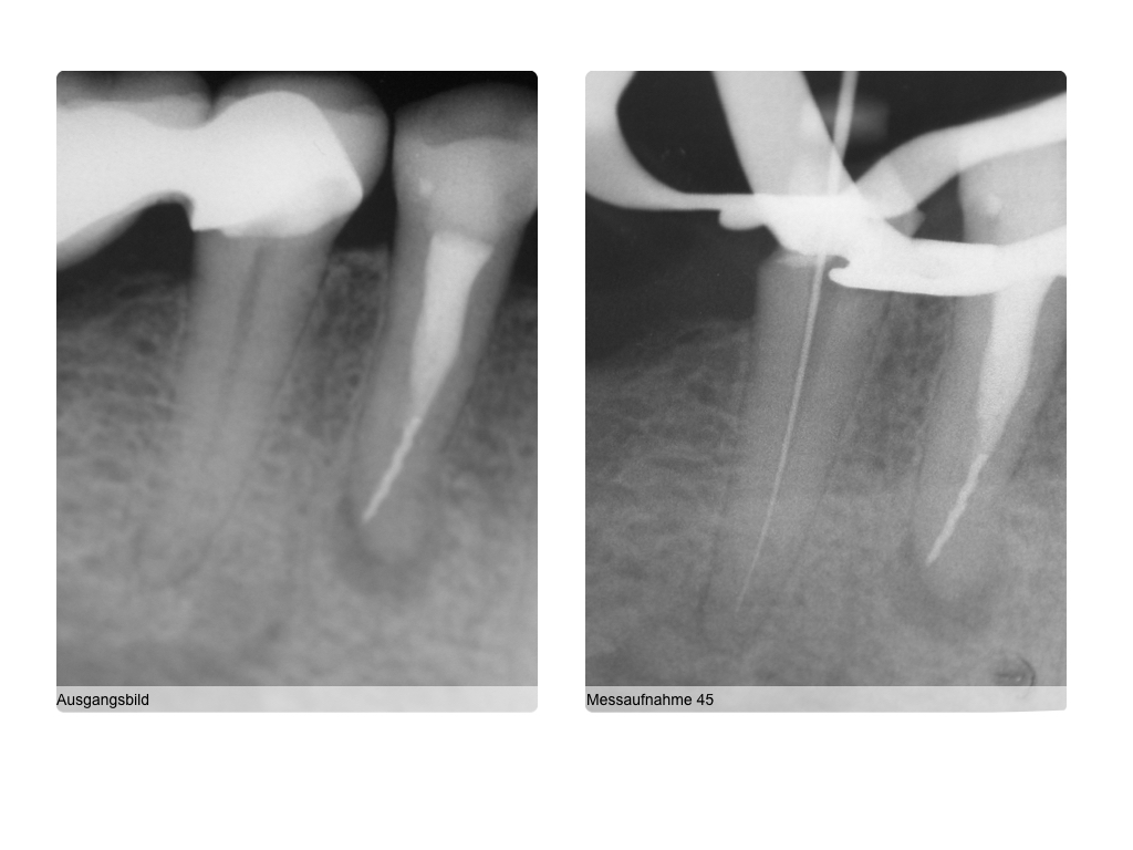
ws1442061016-001 Veröffentlicht 5. Oktober 2016 am 1024 × 768 in Zufallsrecall nach mehr als 10 Jahren