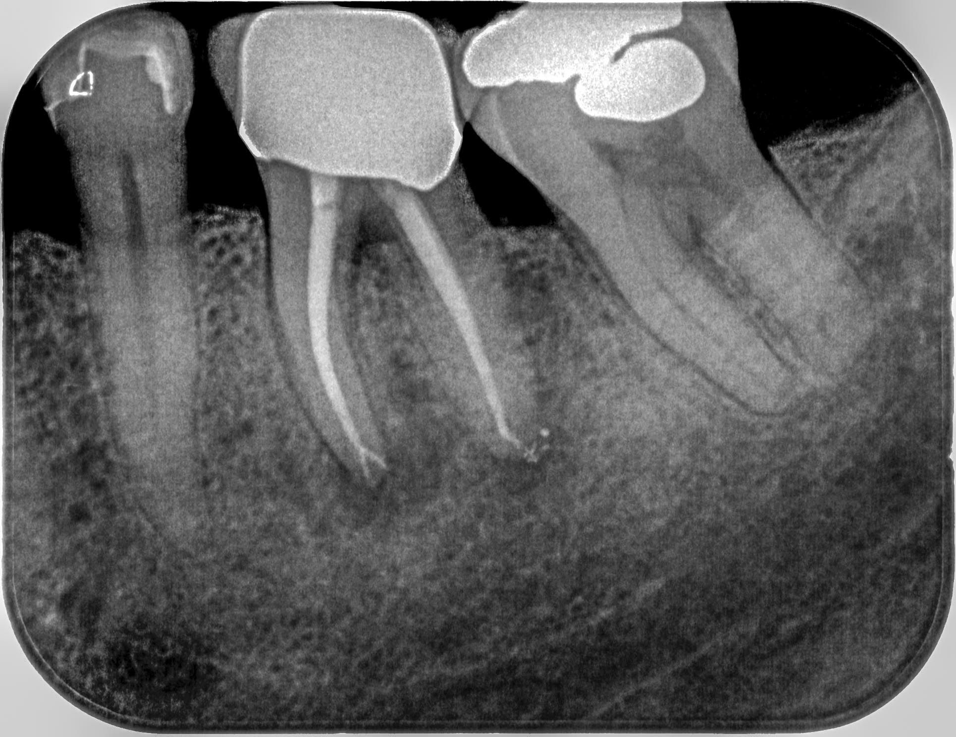
Distal-3 Veröffentlicht 16. Mai 2016 am 1930 × 1487 in Starker distaler Knocheneinbruch – Lohnt der Versuch eines Zahnerhaltes ? Zahn 36 6 Monate post WF Mai 2016