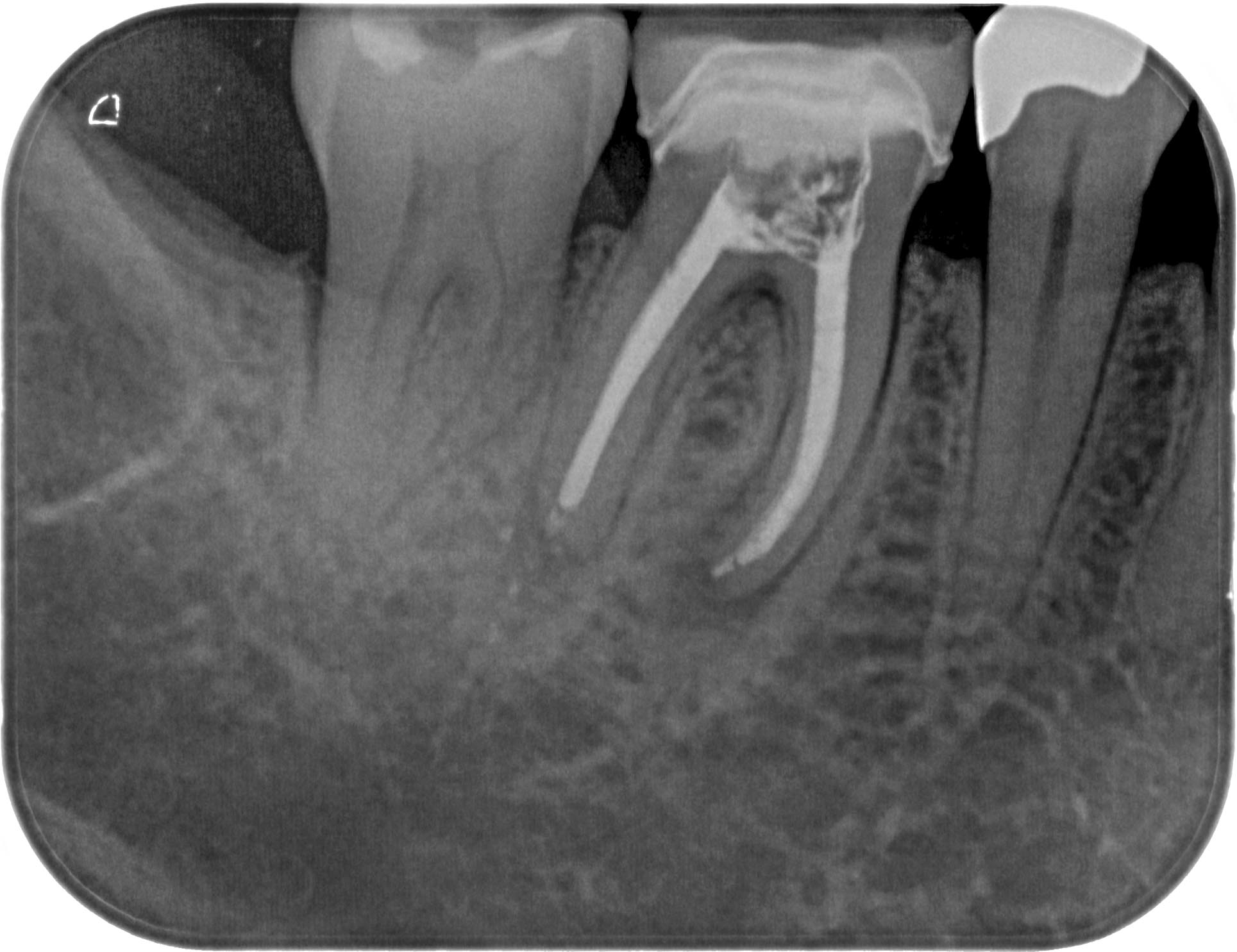
HS46 (1 von 1) Veröffentlicht 21. März 2016 am 1929 × 1485 in Calciumhydroxid- Überpressung (2) 21. März 2016