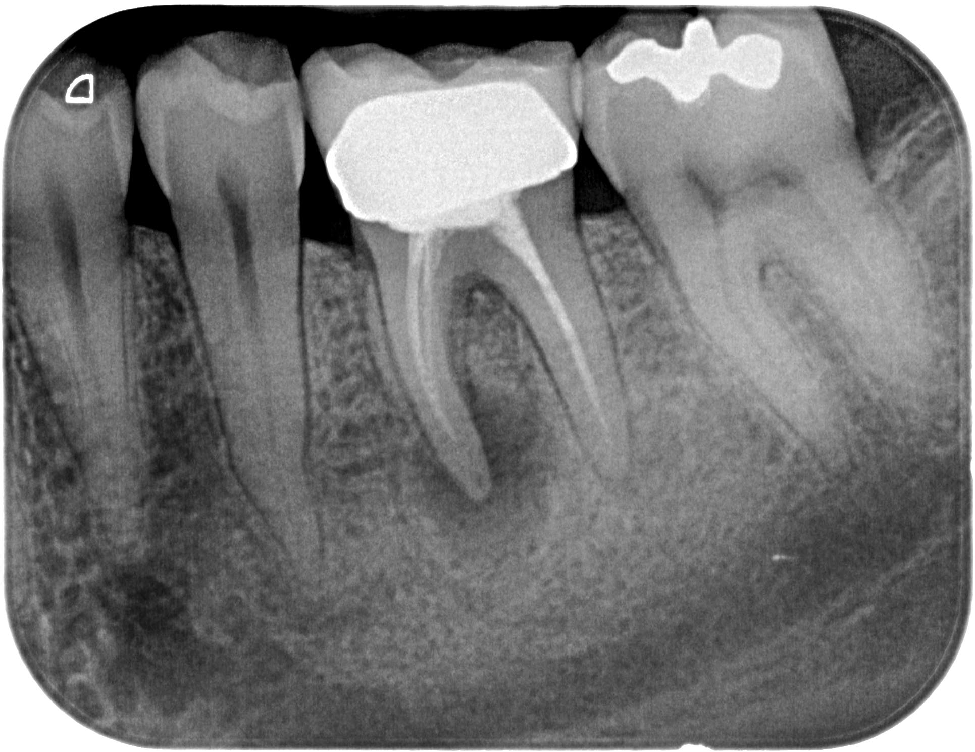
FM36 (2 von 6) Veröffentlicht 21. März 2016 am 1931 × 1489 in Calciumhydroxid- Überpressung (2) 13. Januar 2012