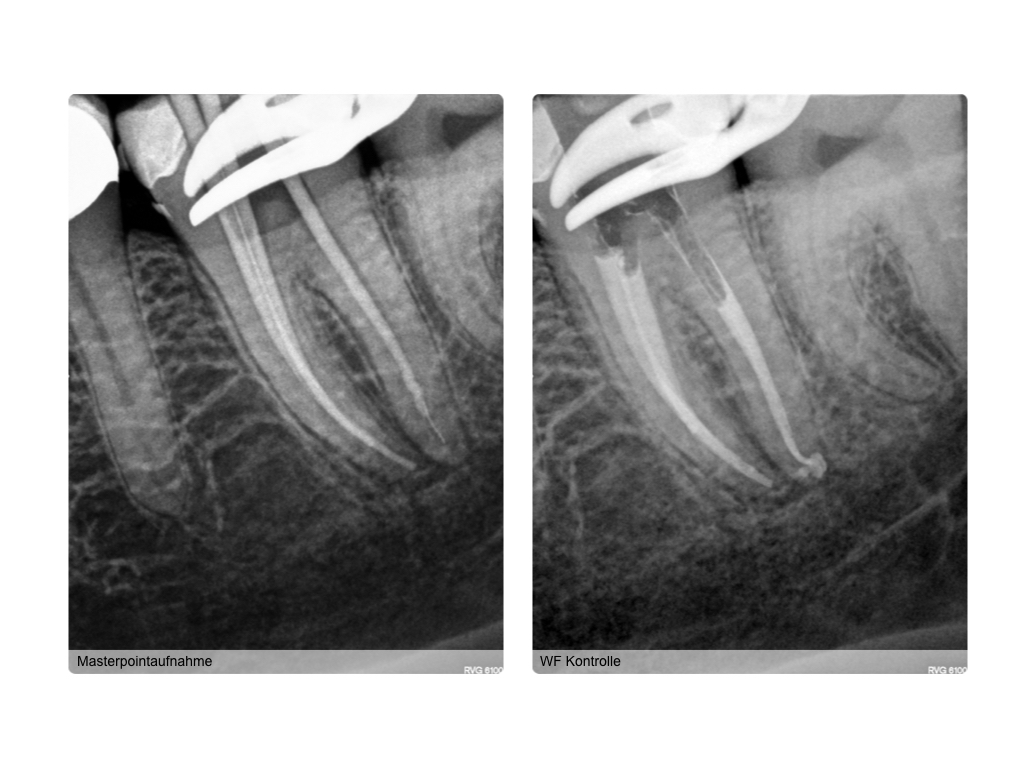
WS_Fallvorstellung15_12_12.007 Veröffentlicht 15. Dezember 2015 am 1024 × 768 in 2015 Fallvorstellung 2