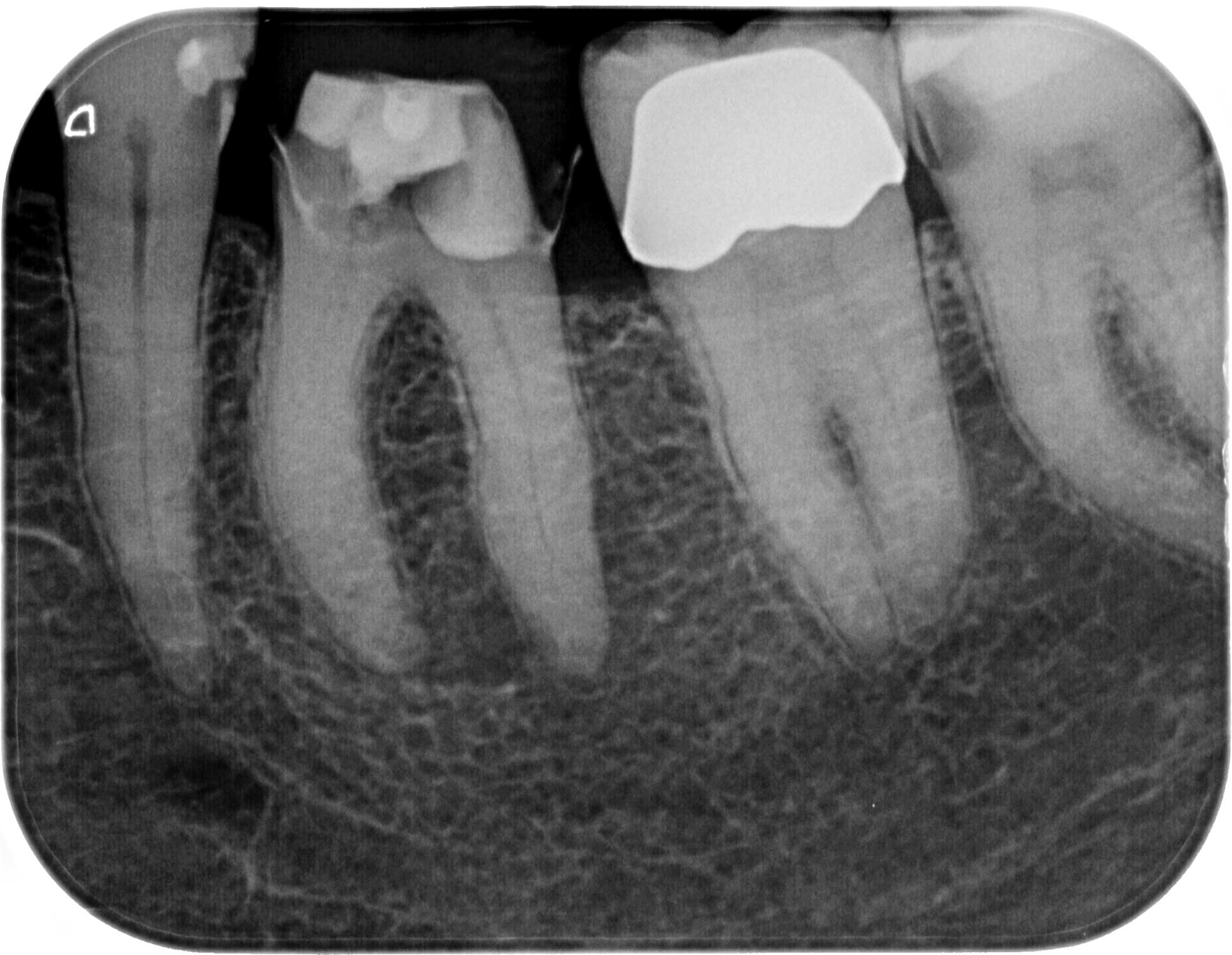
KSKrone6MonatepostWF-1-7 Veröffentlicht 24. September 2015 am 1929 × 1495 in Zuverlässige Endometrie bei Metallkronen – aber auch – Wäre das nicht eine sinnvolle neue Rubrik für WURZELSPITZE ? Zahn 36 vor Endo