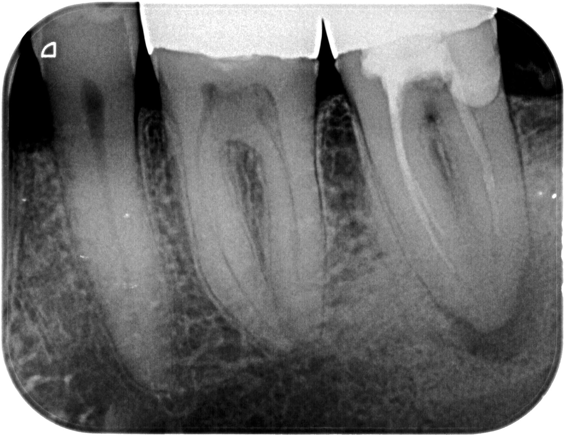
KSKrone6MonatepostWF-1-2 Veröffentlicht 24. September 2015 am 1931 × 1488 in Zuverlässige Endometrie bei Metallkronen – aber auch – Wäre das nicht eine sinnvolle neue Rubrik für WURZELSPITZE ? Zahn 37 vor WF- Revision