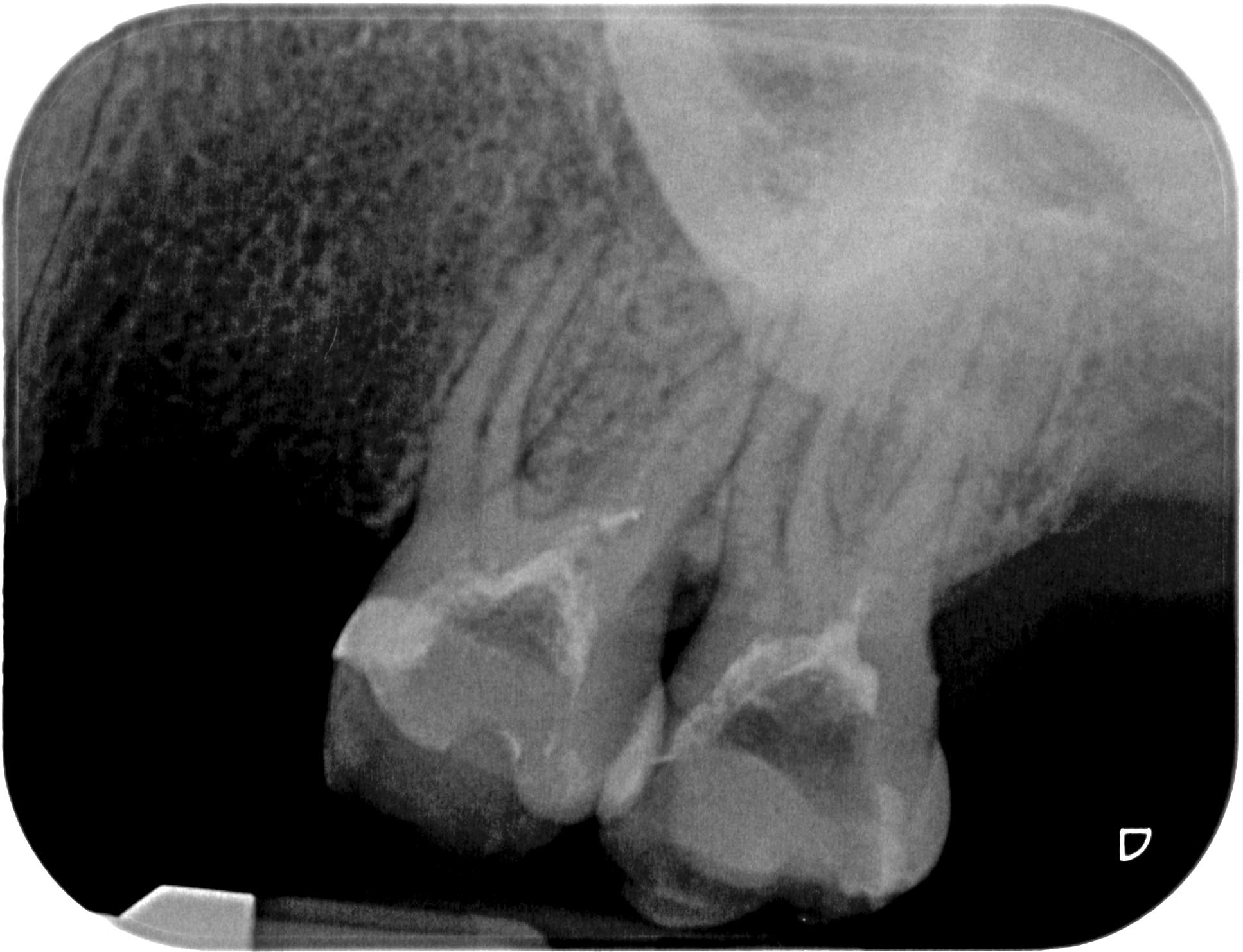
BN2627_1a-15 Veröffentlicht 1. Dezember 2014 am 1935 × 1483 in Unerwartete Anatomie Zahn 26, 27- die WF