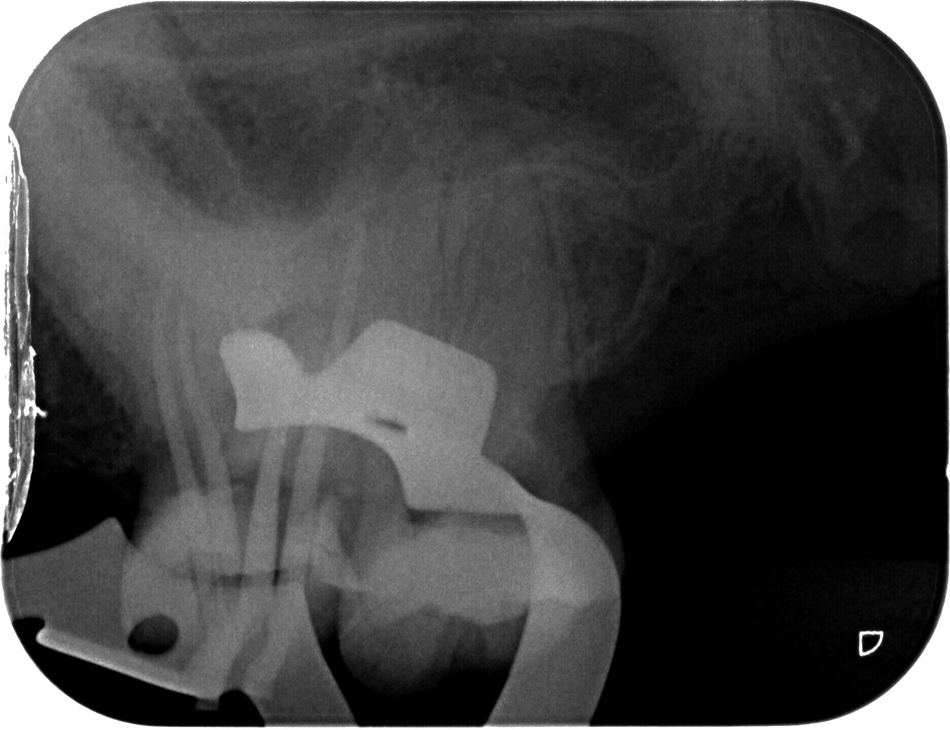
BN2627_1a-12 Veröffentlicht 1. Dezember 2014 am 1933 × 1486 in Unerwartete Anatomie Zahn 26, 27- die WF