Zum Inhalt wechseln
WURZELSPITZE
Moderne Endodontie, moderne Zahnmedizin
Suchen
Hauptmenü
Home
Über…
Über Wurzelspitze
WURZELSPITZE-Leser unterstützen WURZELSPITZE !
Vitae
Autoren
Dr. Christian Danzl
Dr. Hans – Willi Herrmann
Dr. Christoph Kaaden
Dr. Olaf Löffler
Dr. Jörg Schröder
Fortbildungen
DIE3 HERRMANN KAADEN SCHRÖDER reden über… EndoErgonomie
DIE3 HERRMANN KAADEN SCHRÖDER reden über…EndoOrganisation
DIE 3 HERRMANN KAADEN SCHRÖDER reden über …Wurzelkanalaufbereitung
Hospitationen
Praxis Dr. Christoph Kaaden
Praxis Dr. Jörg Schröder
Gästebuch
Impressum
Bilder-Navigation
Weiter →
WS4.004
Veröffentlicht
18. Juli 2014
am
1024 × 768
in
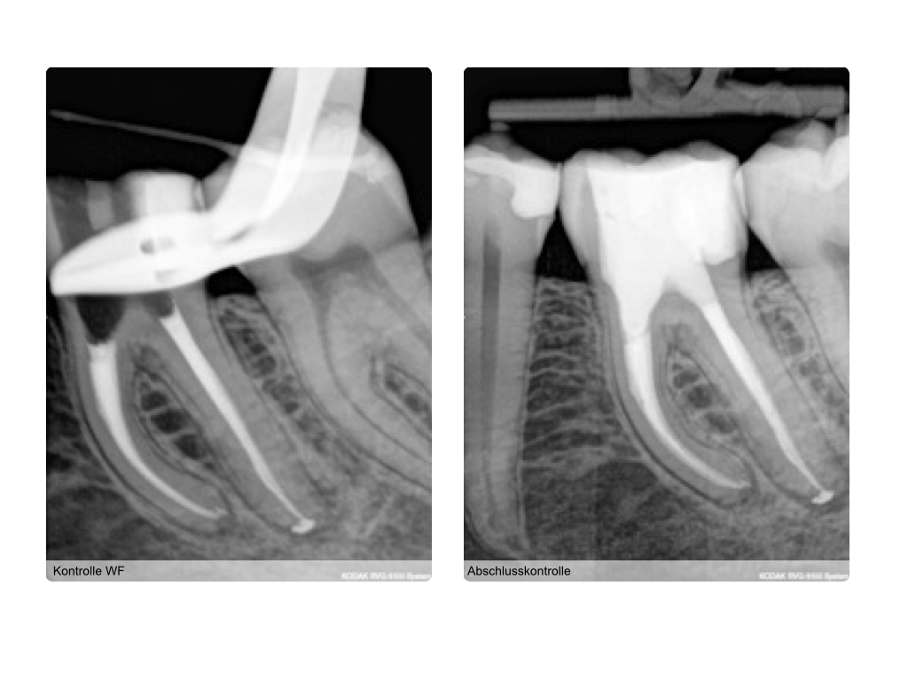
Instrumentenfrakturen (1)
Kommentar verfassen
Antwort abbrechen