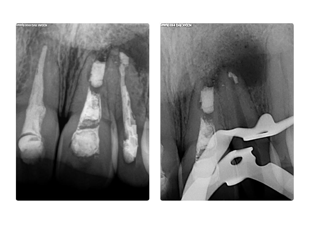
ws7.006 Veröffentlicht 27. Juni 2014 am 1024 × 768 in Einbahnstraße WSR (2) WF und retrograde WF Entfernung 22