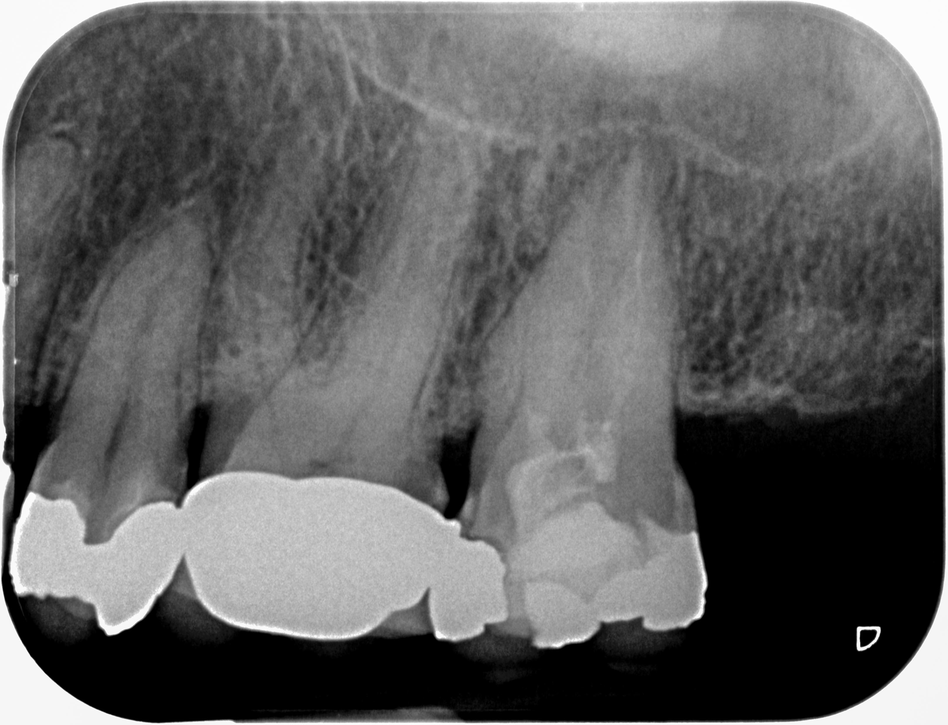
KC27-1 Veröffentlicht 26. Mai 2014 am 3235 × 2472 in Geht´s auch ohne DVT ? Zahn 27 – diagnostische Rö