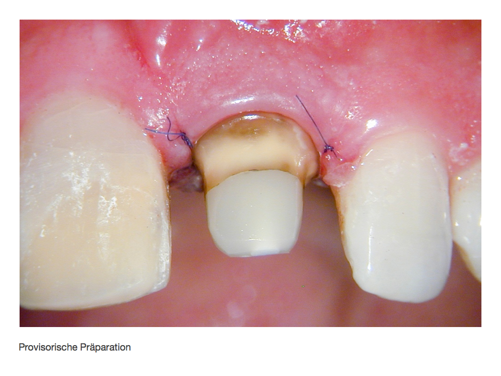
IF.071 Veröffentlicht 3. November 2012 am 1024 × 768 in Zahnerhalt „austherapierter“ Zähne durch endochirurgische Maßnahmen