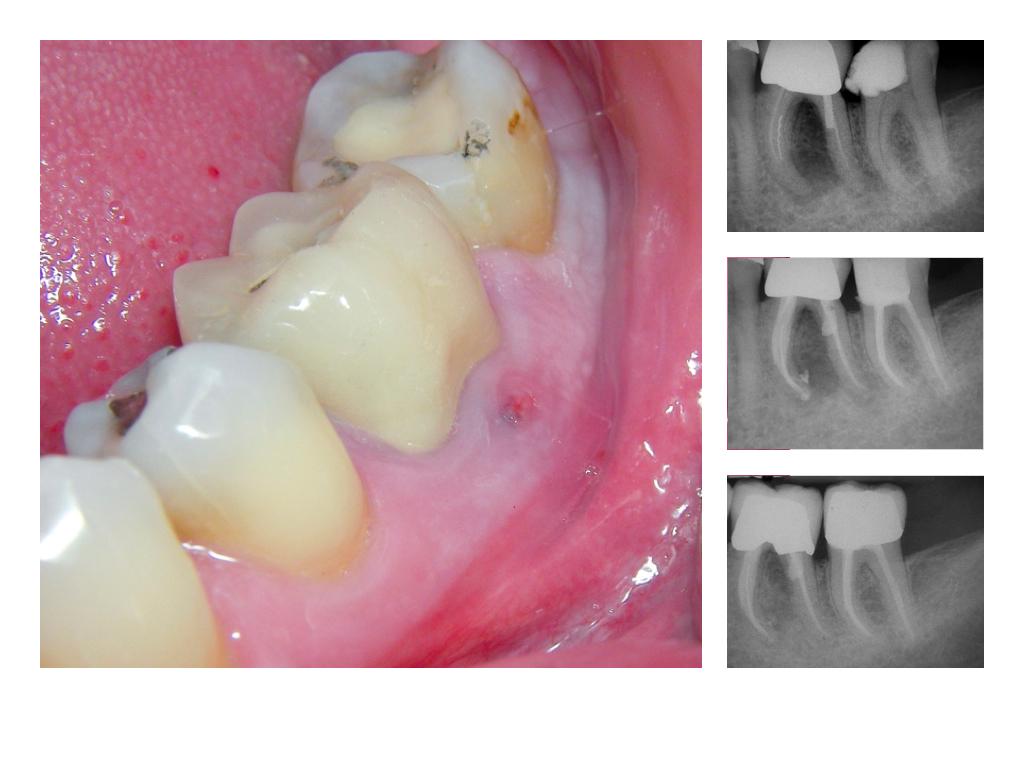
DMAWFR.008 Veröffentlicht 27. Februar 2012 am 1024 × 768 in Die Mutter aller WF – Revisionen – Recall nach 5,5 Jahren