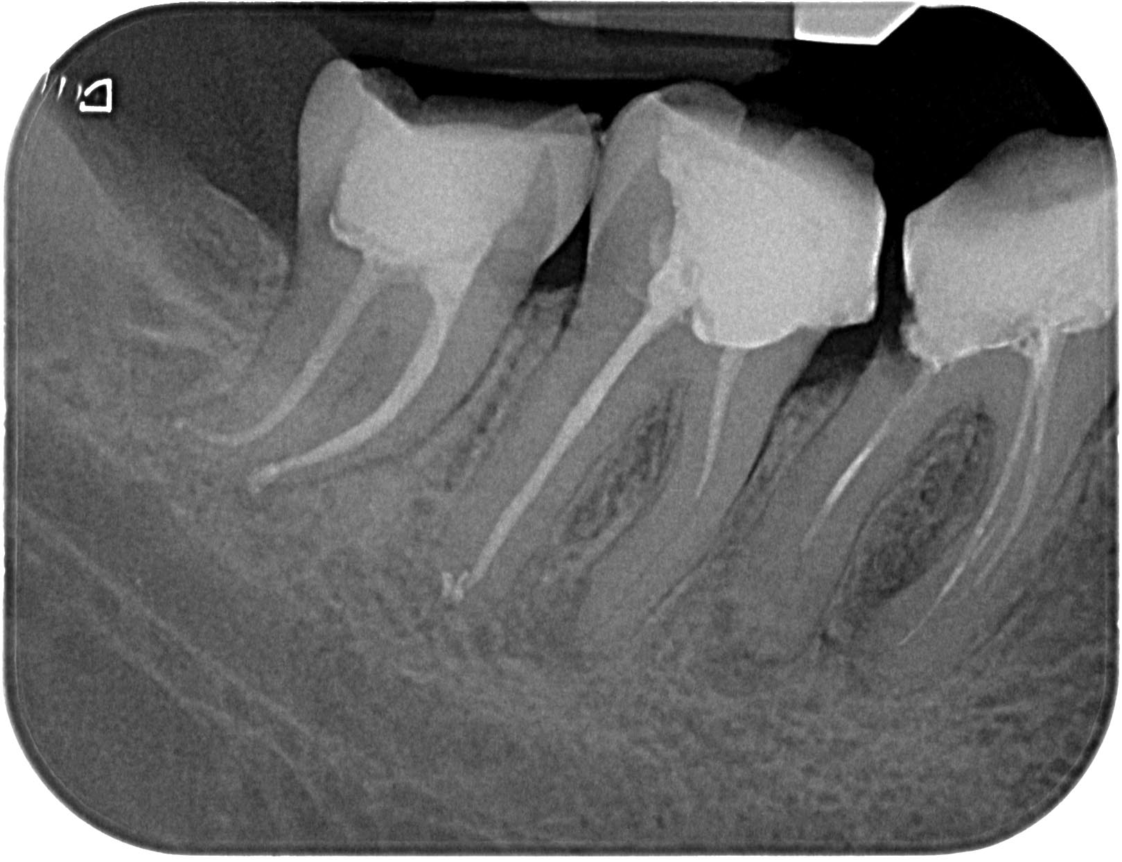
48-1-6 Veröffentlicht 8. Mai 2011 am 1619 × 1243 in Wurzelkanalbehandlung 48 mit RACE 02, MTwo und VDW Reciproc