Zum Inhalt wechseln

WURZELSPITZE

Moderne Endodontie, moderne Zahnmedizin

WURZELSPITZE

Hauptmenü

  • Home
  • Über…
    • Über Wurzelspitze
    • WURZELSPITZE-Leser unterstützen WURZELSPITZE !
    • Vitae
      • Autoren
        • Dr. Christian Danzl
        • Dr. Hans – Willi Herrmann
        • Dr. Christoph Kaaden
        • Dr. Olaf Löffler
        • Dr. Jörg Schröder
  • Fortbildungen
    • DIE3 HERRMANN KAADEN SCHRÖDER reden über… EndoErgonomie
    • DIE3 HERRMANN KAADEN SCHRÖDER reden über…EndoOrganisation
    • DIE 3 HERRMANN KAADEN SCHRÖDER reden über …Wurzelkanalaufbereitung
    • Hospitationen
      • Praxis Dr. Christoph Kaaden
      • Praxis Dr. Jörg Schröder
  • Gästebuch
  • Impressum

Bilder-Navigation

Weiter →

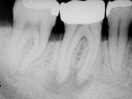
Apikale Aufhellung Zahn 46

Veröffentlicht 16. Februar 2009 am 452 × 339 in Apikale Aufhellung (3)
Bereitgestellt von WordPress.com.